21歳女性の患者様。上顎の強い八重歯と下の前歯のデコボコを主訴に来院しました。上下第一小臼歯の抜歯を行いマルチブラケット法にて治療しました。動的治療期間は約2年で保定期間は1年でした。 前歯部の叢生が強いため、後戻りに注意する必要があります。治療費の目安は約80万円前後です。
16歳女性の患者様。上顎の右側側切歯が奥まってしまっていることと、上下前歯のデコボコを主訴に来院しました。診断の結果、歯槽堤(歯の並んでいる骨の部分)幅と奥行きは標準的なので抜歯をせずに歯列の幅を広げて治療しました。動的治療期間は約1年6ヶ月でした。本症例は歯列の拡大を行い非抜歯にて改善しましたが、拡大量が不足する場合は抜歯の必要性もございます。前歯部の叢生が強いため、後戻りに注意する必要があります。治療費の目安は約75万円前後です。
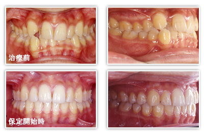
11歳女子の患者様。上下の前歯同士を合わせることが出来るが、奥歯で咬むと前歯が反対咬合になってしまうことを主訴に来院しました。この状態は仮性の反対咬合であり、原因は上顎の前歯が内側に傾いていることにあります。従って上の前歯を外側に押し出して奥歯で咬んでも、前歯同士が当たらないように改善しました。治療期間は7ヶ月でした。治療費の目安は約35万円前後(第一期治療)です。右記写真は第一期の治療が終了したものです。下顎の成長が終了した後に、叢生改善のため第二期治療を行う予定です。
18歳女性の患者様。上下前歯の突出と前歯で物がかみ切れないことを主訴に来院しました。診断の結果、上下前歯の角度が標準より大幅に前に傾いていることと、歯のサイズも標準より大きい事から、第一症例同様に上下第一小臼歯の抜歯を行ないマルチブラケット法にて治療しました。治療終了後は口元の改善が認められ、患者様も機能的。審美的に回復でき大変満足していただきました。前歯部の開咬が認められるため、舌癖に注意する必要があります。治療費の目安は約80万円前後です。
24歳女性の患者様。前歯のデコボコ、八重歯を伴う受け口を主訴に来院しました。分析の結果、下顎前突の度合いはさほど強くないものの、下顎の骨格が左側へ偏位しておりました。患者様と相談した結果、外科手術を伴う矯正を強く希望されなかったため、非外科的に治療を行ないました。口腔内はデコボコと受け口の改善はなされましたが、正中線(上下の歯の真ん中のライン)は一致せず、お顔の輪郭の歪みも多少残存しました。また横顔も大きな変化は認められませんでした。難症例であったため、動的治療期間は約3年を要しました。治療費の目安は約90万円前後です。
21歳男性の患者様。強い受け口と上顎前歯の隙間、物が良くかみ切れないを主訴に来院しました。診断の結果、骨格性の強い下顎前突症ならびに左方への強い偏位が認められました。患者様へのインフォームドコンセントの結果、下顎の位置を改善する外科的手術を併用する矯正を行うこととなりました。また親知らず以外の抜歯は行いませんでした。 治療終了後の口腔内は、前歯の隙間や受け口の状態も改善し、下顎の位置を修正したことにより正中線(上下の歯の真ん中のライン)が一致しました。顔貌においても下顎の突出感および左右の対称性も改善されました。外科的矯正は外科的矯正治療のため保険適応です。
4歳7ヶ月女児の患者様。乳歯列が完成した2歳半頃より受け口が顕著になってきたとの事でした。歯性(前歯の傾きが悪い)と骨格性の両方の要素をもつ下顎前突と診断されたので、歯列咬合誘導装置(ムーシールド)を用いて反対咬合を改善しました。装置使用後 約4ヶ月で改善してきました。歯列咬合誘導装置(ムーシールド)の治療費の目安は約10万円前後です。永久歯萌出期には下顎の成長も進行するため、再び反対咬合にならない様な管理が必要です。
ムーシールドについては主な治療装置のページをご覧下さい。